Травма зуба

от 6000 руб.

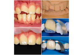
Травма зуба, особенно у ребенка - нередкое явление. Как минимум треть детей ломают или выбивают молочные зубы в активных играх или во время занятия спортом. Травмированный зуб возможно вернуть к жизни, если сразу провести лечение, особенно при наличии осколка с собой. Восстановить эстетику и детям и взрослым, поможет композитная реставрация или временная коронка.